Professor Titular da USP
Periodontia
DOENÇA PERIODONTAL
INTRODUÇÃO PERIODONTIA SUA IMPORTÂNCIAS NOS DIAS ATUAIS. Periodontia, (Peri = em volta de) e (‘Odont. = dente), é a Ciência que estuda e trata o sistema de implantação dos dentes no osso alveolar. A doença Periodontal é uma doença que afeta a humanidade desde tempos remotos, civilizações antigas já descreviam, gengivas sangrando, dentes amolecendo e sendo esfoliados.
Os Maias e Astecas, civilizações antigas, já descreviam, fios de ouro, na amarração destes dentes condenados. Segundo constamos achados paleontológicos, a doença periodontal, que atinge o osso alveolar e a gengiva, antecede a incidência da cárie dental. Para o aparecimento da cárie, há necessidade de 3 fatores fundamentais: Primeiro o hidrato de carbono (açúcar, de preferência a sacarose); segundo uma bactéria acidogênica, que em seu metabolismo, produz ácido; em terceiro lugar, um dente suscetível à cárie.
Segundo os pesquisadores essas condições somente apareceram quando o homem se tornou civilizado. Os fatores para o aparecimento das Gengivites e Periodontites, são muito mais complexos, e serão discutidos em outro capítulo. Os paradigmas da qualidade de vida das pessoas têm mudado muito. Todos têm se preocupado com sua saúde, para ter uma existência feliz com autoestima.
A saúde começa pela boca, assim a preocupação com os dentes e tecidos periodontais tem evoluído muito. O índice de cárie tem diminuído, graças ao uso do flúor. Hoje o flúor é colocado na água de abastecimento e nos cremes dentais. As pessoas têm melhorado sua higiene bucal, com isso usando mais cremes dentais e prevenindo a cárie e controlando a doença periodontal. A maioria dos dentes, mais de 80%, nos adultos, é perdida pela doença periodontal. Gengivas que sangram, dentes com mobilidade, mau hálito, dentes que migram, são sinais de doença da gengiva e perda óssea. O futuro destes dentes pode ser a extração.
O problema da inflamação dos dentes não somente acarreta sua perda, mas estes elementos são focos de inflamação, com gravíssimas conseqüências para a saúde das pessoas. Streptococcus mutans é uma espécie de bactérias gram positiva, com a morfologia de cocos ( esféricas) pertencentes ao gênero Streptococcus. Esta bacéria é comum na boca, mas uma das mais importantes nas patologias bucais. Elas sintetizam o dexano, um carboidrato de grande peso molecular, (+ ou- M300 000), que dado seu grau de adesão, permite que ela se fixe na superfície dos dentes, formando, juntamente com outras espécies bacterianas, que aí se aderem, a formação do Biofilme do dente ou Placa Bacteriana. Como as bactérias S. Mutans, são acidogênicas e acidúricas, quando em presença da sacarose (açucar), nos dentes sucetíveis, elas podem causar a cárie dental. O Flúor, é o único meio de tornar os dentes não sucetíveis à cárie.

Esta uma lâmina corada, mostra uma colônia de Streptococos mutans, removida de um biofilme dentário. Essa é a fase inicial do biofilme detário. Outras bactérias vão se aderindo ao biofilme, tornando essas colônias muito mais complexas, mas nessa fase, os microorganismos são Gram positivos e aeróbios, e quando examinados ao microscópio de fase, são fixos, e não têm mobilidade. p2Nesta lâmina deste biofilme mais maduro, vemos mais de 4 formas de bactérias: vibiões, bastonetes, espiroquetas entre outras bactérias. As bactérias filamentosas, geralmente são móveis e Gram negativas.
Este complexo biofilme, já aumenta de forma significativa a produção de imunoglobulinas, ativando o Sistema Imunológico, e a produção de anticorpos, a reação AG X Ig vai se intensificando. Quando o biofilme não é eliminado, as bactérias se associam formando complexos bacterianos, que agravam e aumentam a produção de anticorpos, incluindo as endotoxinas e enzimas oriundas da própria morte das bactérias, isto ativará o Sistema Imunológico, com liberação de C3, e Prostaglandinas, Reação em Cascata, que ativará os osteoclastos, iniciando a reabsorção do tecido ósseo, tem aí o início da Periodontite Inflamatória.
Desta maneira, didaticamente classificamos a Gengivite como uma inflamação onde não há perda óssea. Ela é episódica. Quando o processo inflamatório, evolui e inicia a perda óssea temos a fase de Periodontite. A seguir temos uma imagem do microscópio eletrônico de varredura, mostrando um biofilme, de uma periodontite inflamatório instalada, onde a seta aponta uma formação em “cornan cob” (espiga de milho), onde os cocos estão aderidos uma bactéria filamentosa. Segundo pesquisas a bacéria fundamental filamentosa nesta fase seria: Aggregatibacter actinomycetemcomitans (AA).

AS CARACTERÍSTICAS DOS TECIDO GENGIVAIS COM A EVOLUÇÃO DAS DOENÇAS NA ÁREA.
Nesta fotofgrafia vemos ma gengiva normal. A cor é rosa pálida, a textura é semelhante a uma casca de laranja em miniatura, as papilas são finas ocupando o espaço interdentário, terminam bem delgadas na superfície do esmalte. Não sangram na escovação.

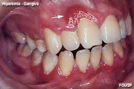
Na parte superior destes dentes vemos claramente uma Gengivite instalada. A gengiva fica, vermelha, lisa devido ao edema. As papilas ficam mais vermelhas e aumentam de volume e quando tocadas pelo fio dental sangram com facilidade.

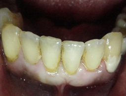
No hemiarco inferior vemos um quadro mais adiantado e grave. Há grande quantidade de cálculos supra e subgengival, a perda óssea é evidente pela retração do tecido, a gengiva marginal e inserida esta com todas características de uma inflamação, com perda óssea. Temos assim caracterizado uma PERIODONTITE INFLAMATÓRIA.

Este esquema mostra uma sonda milimetrada inserida no sulco gengival, medindo o aprofundamento do sulco, que no caso se chama de bolsa periodontal. Mostra também o biofilme, causador do processo inflamatório, se não for removido causará perda óssea, e consequentemento no futuro a perda do dente.

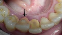
Esta imagem é de um biofilme mineralizado, chamado de cálculo ou tártaro, que se não removido, causará uma periodontite inflamatória, se não tratada, os dentes serão perdidos com o tempo.

Esta é uma situação periodontal crítica. Periodontite inflamatória generalizada. O incisivo central direito, não tem mais osso por vestibular, está com mobilidade 3, isto é, condenado.

O final de uma periodontia inflamatória não tratada é este. A perda total dos dentes, todos íntegros, sem nenhuma cárie. Contudo, o biofilme por anos presente em suas superfícies, o tornaram para o Sistema Imunológico do paciente, um corpo extranho, ou seja um Antígeno.
Este (Ag), despertou todo o sistema imunológico do paciente, que iniciou a produção de anticorpos específicos (Ig), estimulando os osteoclastos a destruírem o osso alveolar, e iliminar o dente. Não foi o dentista que extraío estes dentes, mas o mecanismo de defesa do paciente os eliminou. Pois eles se tornaram um corpo extranho, que nesssecitava de ser eliminado, pois eles representavam um foco grave de inflamação, para o organismo do paciente.

Os pacientes que que estão fazerdo ortodontia, precisam constantemente de cuidados, pois a dificuldade de higenização e da autoclise, facilita o aparecimento de problemas periodontais. Observa-se que no incisivo superior esquerdo, nete paciente, existe um abscesso no ápice, indicando um sério problema perio – endodôntico. Além do mais, deve-se considerar que durante a movimentação dos dentes está havendo, atividade osteoclástica (reabsorção óssea) e osteoblástica (formação óssea). Este equilíbrio biológico pode ser alterado se houver, algum processo inflamatório, e consequentemente reações imunológicas na área.
QUAIS AS CONDIÇÕES DE UM DENTE, QUE INDICAM A NECESSIDADE DE UMA EXTRAÇÃO:
Quando um dente, por algum destes motivos terá que ser extraído, muitas considerações devem ser feitas, as mais importantes seriam:
Todos estes detalhes procuraremos, esclarecer, no decorrer deste trabalho nos casos clínicos, que apresentaremos, esse importante assunto será melhor esclarecido. O DENTE: Importantíssimo considerar que o dente não é apenas uma peça dura, mineralizada, introduzida no osso. O dente é um órgão complexo, formado embriologicamente, a partir de tecidos epiteliais e conjuntivos, que se histodiferenciam, formando um complexo órgão para a mastigação. Como vemos no esquema: Ele é aderido por fibras ao tecido epitelial. É preso ao osso alveolar, por uma membrana muito complexa, chamada de ligamento periodontal, que além de fixar o dente no osso, tem células de defesa, células de reconstrução e destruição óssea, vasos sanguíneos e nervos com terminações ditas proprioceptivas, ligadas ao Sistema nervoso, que nos orienta a todo momento na mastigação e na postura de nossa oclusão. O dente em si é recoberto em sua coroa pelo esmalte, que é de origem epitelial, ele é um cristal sólido, a todo momento troca íons com a saliva, mantendo sua integridade. Se não houver saliva, (paciente irradiados), o esmalte é o primeiro a desaparecer. O Flúor é o elemento que dá maior resistência aos tecidos duros dos dentes. Abaixo do esmalte, formando todo arcabouço do dente tem a dentina, que é de origem mesenquimatosa, e possui canalículos com prolongamentos de suas células, que lhe deram origem os Odontoblastos. Na parte mais interna temos a polpa dentária, é um tecido vivo, conjuntivo, com vasos, nervos e todos tipos de células conjuntivas. Cemento, é de origem conjuntiva, e recobre as raízes dos dentes, têm a função de fixar as fibras conjuntivas do ligamento periodontal. Assim estas fibras pendem-se ao osso alveolar e ao dente, fixando-o no alvéolo dental. Todos estes tecidos que formam o complexo sistema dentário, podem apresentar patologias, por exemplo: Na gengiva – Gengivite; no ligamento periodontal e osso – Periodontite (a mais grave das doenças); na polpa – pulpite. Essas patologias apresentam variações, dependentes da imunologia do paciente. Figura de um dente no alvéolo.

Este é um esquema completo de um “órgão dentário”, com todas suas estruturas, Esmalte, dentina, Cemento, polpa, vasos e nervos. Principalmente devemos considerar o tecido ósseo alveolar, que sustenta tudo este complexo. O dente com sua fisiologia, mantem o osso Alveolar, e estes mantem o dente funcionalmente na boca. Se o dente é removido, o osso alveolar é reabsorvido com o tempo. Se o osso é destruído por ação das placas bacterianas, (biofilme do dente e cálculos), o dente mesmo sem nenhuma cárie, fica com mobilidade, e é perdido, pela doença periodontal inflamatória. Assim concluímos de forma óbvia, o dente e o osso alveolar, se interdependem fisiologicamente. AS ESPECIALIDADES ODONTOLÓGICAS SÃO BASEADAS NO TRATAMENTOS DOS TECIDOS QUE FORMAM O COMPLEXO DENTÁRIO:
No desenvolver de nossos trabalhos nesta página da Internet, procuraremos exemplificar e ilustrar todos estes procedimentos, das especialidades aqui relatadas. CONSIDERAÇÕES SOBRE A PERIODONTIA: Já abordamos múltiplos aspectos da periodontia atual, pretendemos nos estender ainda mais sobre esta especialidade, pois com o advento e progresso, da implantodontia, da ortodontia e da reabilitação oral, esta especialidade torna-se a “pedra angular”, do sucesso de todos estes procedimentos.
Como veremos neste capítulo, o simples fato do profissional extrair um dente condenado, exige técnicas apuradas como: Antissepsia pré-cirúgica, ver se é um paciente de risco; para a indicação antibiótico terapia preventiva; extrair com técnicas indicadas para preservação das cristas ósseas restantes e da manutenção de gengiva aderida, durante a cicatrização.

Esta paciente veio ao consultório com a indicação de uma raspagem nesta região. Pois segundo seu Dentista, sua gengiva esta inflamada. Um exame radiográfico foi realizado, mostrando uma grande perda de osso, os dentes apresentavam uma grande mobilidade, com um prognóstico muito sóbrio. O caso da paciente, foi minuciosamente discutida com a paciente, mostrado que os dentes da bateria inferior anterior estavam perdidos, não haveria meios mais, de serem recuperados. Foi um choque no início para a paciente, contudo após um exame geral em sua boca, mostrando as profundas bolsas intraósseas, com inflamações generalizadas, e o risco que ela corria, não somente pela perda dos dentes, mas comprometimentos gerais incluindo problemas sérios cardíacos, ela se conscientizou da necessidade urgente de tratamento.

No início da profilaxia pré-cirúrgica, com as pontas de ultrassom, podemos demonstrar a paciente a necessidade do procedimento indicado. Os dentes praticamente seriam removidos apenas com uma profilaxia rigorosa. Em certos casos, e dependendo dos pacientes, é importante mostrar as alterações patológicas, assim como documentar os procedimentos, que forem realizados. Os dentes foram extraídos, pois, estavam condenados. Apaciente não usava, pois estavam moles e doíam.

Todos dentes condenados tiveram que ser extraídos. As remoções foram feitas com muita cautela para não haver rompimento da crista óssea, assim como do septo interdental. Esse procedimento deve ser realizado em todas exodontias, para preservar o máximo de tecido ósseo alveolar.

Os dentes depois de extraídos, os alvéolos limpos e curetados rigorosamente. Importantíssimo, netas cirurgias, é realizar os procedimentos como uma cirurgia de retalho periodontal, pois as paredes das bolsas periodontais devem ser totalmente removidas, com uma lâmina número 15, realizando uma incisão de bizel interno, para a remoção total do tecido interno que forma a bolsa, eliminando assim as bactérias infiltradas neste tecido. A exposição de uma mucosa gengival sadia, após o deslocamento do retalho total, é importantíssima, para a cicatrização. A camada basal do epitélio gengival, exposta, tem um enorme potencial de regeneração, o que será importante nas técnicas de Regeneração Óssea Guiada.

Os alvéolos, preservados, durante as extrações, foram preenchidos com Hemospon (Esponja Hemostática de Colágeno Hidrolisado (Gelatina) liofilizada). Suturados firmemente, espera- de 15 a 30 minutos para que a gelatina do Hemospon, induza a formação de fibrina, formando o coágulo, no defeito ósseo. Que através de histodiferenciações celulares, que descreveremos, induzirá a formação óssea.

O paciente não sairia desdentado do consultório, por este motivo, em todos os casos confeccionamos uma PPR, ao final da cirurgia. EXTRAÇÂO DE DENTES CONDENADOS NA ÀREA DE MOLARES SUPERIORES E RELIZAÇÃO DE ROG. Importante saber da necessidade e a importância da RTG (Regeneração Tecidual Guiada), ou em implantodontia a ROG (Regeneração Óssea Guiada), nos momentos das extrações dentárias, com vista a recuperação dos tecidos.

No início é feito uma ampla profilaxia em toda a região. Para que remoção de todo biofilme, mineralizado ou não, que importantes fontes de antígenos (Ag), o que dificultaria a regeneração tecidual,

O dente foi removido com odontosecção de suas raízes, para não haver perda óssea, durante a extração. Todas as paredes dos alvélos foram curetadas e limpas, para inserimos o material aloplástico. O segundo molar, unirradicular foi extraído também.

Depois de curetado os alvélos, foram preenchidos com material aloplástico: Gengimix + Adesivo cirúrgico. Para manutenção do material enxertado a ferida cirúrgica foi recoberta com uma membrana de colágeno reabisorvível. Neste procedimento é importante o material ser bem comprimido e protegido, não haverá sangramento após a intervenção. p22p21Importante notar que as raízes do primeiro molar foram seccionadas, para a nutenção do alvéolo remanescente, o segundo molar não houve necessidade deste procedimento. Depois de colocada a membrana tudo foi muito bem suturado, e colocado cimento cirúrgico. p23p24Estas são as duas radiografias a primeira, logo após a cirurgia e curetagem dos alvélos, (ela está invertida, para comparação). A segundo é após o preenchimento dos alvélos com material de ROG.
CONCEITOS ERRADOS SOBRE DOENÇA PERIODONTAL
É errado pensar que as pessoas vão perdendo seus dentes naturais, com o avançar da idade. A verdade é que uma boa higiene bucal e cuidados profissionais regulares do dentista, os dentes duram por toda sua vida. A partir dos 35 anos de idade, a doença periodontal é a principal causa de perda dos dentes , independente do sexo do indivíduo. A verdade é que as pesquisas mostram que mais de 30% da população são geneticamente suscetíveis à doença periodontal. Mesmo com todos os cuidados de higiene oral, tais indivíduos têm 6 vezes mais chances de desenvolverem a doença periodontal.
É errado pensar que a saúde bucal não afeta a saúde geral das pessoas. A verdade é que a doença periodontal interfere com todo sistema orgânico das pessoas e numerosas doenças têm relação com a doença periodontal: diabetes, reumatismo infeccioso, artrite, artrose, osteoporose, problemas cardiovasculares e outras. Não tem dúvidas, há relação entre a doença periodontal e os problemas cardiovasculares dos pacientes. Estudos recentes da Academia sugerem que as bactérias presentes na gengiva inflamada podem penetrar no sangue, através da bolsa periodontal e contribuir para um ataque cardíaco. Assim, a doença gengival seria um fator de risco para as doenças cardiovasculares.
O sinal mais comum da doença gengival é o sangramento ou exudato, que ocorre entre os dentes. Se a doença for deixada sem tratamento, ela pode destruir o osso alveolar de suporte e o dente ser perdido. A Academia Americana de Periodontia recomenda que as pessoas que tenham propensão à doenças cardiovasculares procurem seu periodontista e cuide bem de sua gengiva. Chicago, 18 de junho 1997. AAP. O Dr. Robert Genco, professor e Presidente da Universidade Estadual de Nova Iorque, em Búfalo, Redator do Journal of Periodontology, é o encarregado de coordenar esta pesquisa. É errado pensar que a doença periodontal é uma infecção menor, sem importância para o organismo. A verdade é que a área do tecido periodontal quando inflamada corresponde à superfície da palma da mão de uma pessoa. É uma área bem grande. Se a gengiva estiver toda vermelha e inflamada, o problema é bem sério para todo o organismo; a pessoa deve consultar um periodontista.
A doença da gengiva não é uma infecção pequena, se não tratada leva à perda da extrutura óssea e dos dentes. A pessoa teria que mudar seu modo de vida, por ter que usar uma dentadura, com profundas mudanças estéticas, e dramática dificuldade para mastigar os alimentos. Doenças da gengiva, também são conhecidas como doenças periodontais, são das infecções mais comuns da cavidade bucal das pessoas, sendo até mais prevalente que resfriado A verdade é que o sangramento gengival não é normal, é um sinal de doença. Pense no tecido de sua mão sangrando a todo momento, você a lavaria sempre, e se preocuparia com isto, com a certeza que algo de errado estava ocorrendo. Outros sinais da gengiva inflamada incluem: gengiva inchada, vermelha e brilhante, a gengiva separada do dente, pus entre a gengiva e o dente, mau hálito, os dentes migram patologicamente, separando-se uns dos outros. É errado pensar que o tratamento gengival é um procedimento dolorido. A verdade é que hoje existem técnicas avançadas para o tratamento periodontal, cujos procedimentos nao sao doloridos de serem realizados. Os anestésicos usados sao de açao rápida e muito eficazes. Para a limpeza e anti-sepsia da área sao usados equipamentos ultra-sônicos, polimento com jatos de bicarbonato de sódio e todos os equipamentos sao irrigados com soluçoes anti-sépticas efetivas. Assim, a sessoes sao curtas, com o mínimo desconforto para o paciente.
É errado pensar que os dentes perdidos, a única opçao dos indivíduos seriam as coroas, pontes ou mesmo dentaduras. A verdade é que os dentes perdidos podem ser substituídos, de forma permanente por implantes dentários. Os dentes ausentes, nao importa a causa, podem ser substituídos pelos implantes de titânio osseointegrados. É errado pensar que as cáries sao os principais motivos para as pessoas perderem seus dentes. A verdade é que a maioria dos dentes perdidos pelos adultos tem como causa a doença periodontal, de acordo com pesquisa realizada pela Associaçao Americana de Odontologia em 1996, nos USA. A relaçao é de dois dentes perdidos por problemas periodontais para um dente perdido por outras causas juntas (cárie, canais, trauma, etc). Segundo essa pesquisa, os problemas da gengiva sao os que mais tem despertado a atençao dos pacientes nos consultórios. É errado pensar que as doenças gengivais ou periodontais, sendo de origem bacteriana, podem ser tratadas com antibiótico terapia.
A verdade é que a doença periodontal nao pode ser tratada com antibiótico terapia mesmo sendo uma doença de origem bacteriana. Pesquisas mostram que os antibióticos podem ser úteis como auxiliares, em certos casos específicos de tratamento periodontal, mas nunca como método principal de tratamento. A comunidade científica está muito preocupada com o uso indiscriminado de antibiótico terapia, e o tratamento periodontal se enquadra nesse caso, pois as bactérias estao aderidas ao dente e sao praticamente inacessíveis as drogas, assim poderá ocorrer que essas bactérias tornam-se resistentes ao antibiótico e muitas outras bactérias envolvidas, tornam-se resistentes também. O antibiótico é muito indicado profilaticamente, durante o tratamento periodontal, nos pacientes de risco, pois quando o profissional de saúde, dentista ou higienista, manipula a gengiva, raspando e curetando os dentes, ocorre uma bacteriemia transitória, que nos pacientes de risco, poderá acarretar sérias consequências. Sao considerados pacientes de risco: paciente com ponte de safena, ou problemas cardiovasculares, pacientes que tiveram endocardite bacteriana subaguda, paciente com reumatismo, pacientes com desequilíbrio do sistema imunológico e outros.
A transmissao da doença periodontal entre os familiares. A doença periodontal pode ser transmitida de pais a filhos e entre os pais, de acordo com um artigo de setembro de 1997, da revista da Associaçao Americana de Odontologia.
Contatos
Rua Visconde de Inhaúma, 590 – conjunto 205. CEP: 14010-100
Localização
Copyright © 2024 | Clínica Sérgio Lima – Todos os direitos reservados