Professor Titular da USP
Próteses
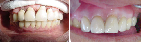
O QUE É UM IMPLANTE DENTAL?
Hoje a beleza é fundamental para a auto-estima das pessoas. Muitas pessoas à medida que perdem ou tem seus dentes alterados por patologias, vão perdendo paulatinamente sua auto-estima. Procuram o tratamento dentário, para recuperar não propriamente sua saúde, mas para recuperarem a estética e atingirem a auto-estima.

Este é o sorriso que todas pessoas buscam. Perde-lo por negligência ou mau hábitos e muito fácil, recupera-lo é uma arte. Envolve numerosos procedimentos e muitas vezes com um alto custo. Prevenir e manter os dentes, portanto, é fundamental para auto-estima e principalmente para saúde e qualidade de vida.

Independete dos métodos usados durante as reabilitações, as linhas do sorriso têm que ser respeitadas. O sorriso em qualquer profissão é sempre nosso principal cartão de visitas.
As linhas que compõem um sorriso normal são estudadas cientificamente pelos profissionais da Odontologia. Todos aspectos relativos à sua recuperação são determinados pelos profissionais, e os tratamentos para sua execução são multidisciplinares, exigindo uma equipe odontológica competente e dedicada.
A Odontologia moderna tem como um de seus pilares a Estética, atingi-la é um desafio que nenhum profissional pode ignorar. Contorno e aspecto da Gengiva.
Uma gengiva saudável é tão importante quanto aos dentes para compor um sorriso bonito e harmônico.
O tecido gengival saudável, é rosa claro, ou pouco mais escuro, conforme a raça. Preenche totalmente os espaços inter-dentais e suas bordas são finas.
É tão importante a gengiva, na estética, que em casos de pacientes, que perderam osso, ou possuem implantes em osso atrófico, gengiva artificial de porcelana (epítese), são confeccionadas para simular a gengiva normal restabelecendo a estético do sorriso.
CASOS CLÍNICOS ILUSTRATICOS, DE USO DE IMPLANTES NA REABILITAÇÃO:
Com o advento dos implantes a Odontologia Contemporânea entrou para uma nova fase, onde o conceito de Reabilitação Oral se encontra ao alcance de todos.
Indivíduos totalmente edêntulos (sem dentes) podem receber Próteses Totais Convencionais (1), Próteses Totais Fixas em Implantes (2) ou Overdentures (3).

(1)- A Prótese Total convencional foi, por muito tempo, a única solução para os indivíduos que perderam seus dentes precocemente e precisavam de uma reposição protética. É composta de Resina Acrílica e sua confecção é dada através de um conjunto de passos e medidas que têm a finalidade de devolver os valores ideais de dimensão vertical, posicionamento, tamanho e forma dentais perdidos, para cada paciente.
Quando existe a possibilidade de ser realizado um tratamento com Implantes Osseointegrados o paciente totalmente edêntulo pode receber dois tipos de próteses:

(2)- Prótese Total Fixa em Implantes ou também chamada de prótese do tipo “Protocolo de Brånemark” é aceito como o tratamento ideal quando lidamos com pacientes edêntulos e que optam por receber implantes osseointegrados. Este tipo de prótese consiste numa barra metálica fundida que permite a fixação dos dentes e confere a grande durabilidade característica do Protocolo, o material restaurador e os dentes, que podem ser Resina Acrílica ou Cerâmica.

(3)- Overdentures, ou “Sobredentaduras”, são Próteses Totais Fixas abotoadas em implantes. Elas apresentam na sua parte interna cápsulas de O’ring que se adaptam aos implantes para garantir uma maior fixação da prótese. Este tipo de prótese é utilizado por pacientes que não possuem bases ósseas suficientes para a colocação do número de implantes ideal para a confecção de uma Prótese Total Fixa em Implantes ou que tenham dificuldades motoras para a higienização das mesmas.
Indivíduos que tenham sofrido perda de alguns elementos dentais isolados ou alguns conjuntos de dentes podem receber Prótese Unitária Fixa em Implante (1) ou ainda Próteses Múltiplas Fixas em Implantes (2).

(1)- Prótese Unitária Fixa em Implante é dada na fixação de uma coroa sobre implante para repor um elemento dental perdido. Podem ser cimentadas ou aparafusadas – variando de acordo com o caso. A vantagem da coroa cimentada é sua estética (a coroa não possui o forame de parafusamento) ao passo que as coroas parafusadas possuem grande versatilidade ao serem de fácil remoção caso seja necessário. Estas coroas podem ser confeccionadas em Resina Acrílica ou Cerâmicas, de acordo com a necessidade estética do caso.

(2)- Prótese Múltipla Fixa em Implante é o tipo de prótese que consiste na utilização de implantes como pilares para repor certo número de dentes adjacentes perdidos (geralmente de dois a três por segmento). Normalmente, colocam-se dois implantes num espaço de dois ou até três dentes adjacentes e sobre os mesmos são confeccionadas coroas unidas entre si. Esta técnica costuma ser utilizada quando existe a necessidade estética de repor tecido gengival perdido ou quando o paciente possui histórico de enxertos ósseos na região dos implantes.
CASOS CLÍNICOS ESPECIAIS:
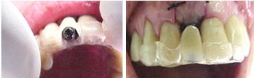
CASO CLÍNICO NÚMERO 2833.
Caso de epítese (gengiva artificial de porcelana).
Situação que o paciente se apresentou no consultório para colocação de implantes e restabelecimento da estética e função dos dentes. Como o tecido ósseo havia sido reabsorvido, para a realização dos implantes, enxerto de ósseo e plasma rico em plaquetas (PRP) teve que ser realizado. Na fotografia vemos os parafusos, fixando os blocos de osso que colocados, e recobertos com PRP (Fotos).

Nestas fotografias estão: O PRP utilizado junto com o enxerto de osso e os implantes colocados 6 meses após a cirurgia.

A primeira fotografia mostra o caso após a colocação das coroas provisórias sem a gengiva artificial de resina (epítese). Na segunda fotografia o caso concluído e a gengiva artificial colocada, mostrando a recuperação ideal possível da estética do paciente. Importante salientar a satisfação e importância desses procedimentos para o paciente, que havia se submetido a esse longo tratamento.
PARA A COLOCAÇÃO DE IMPLANTES:
Para a colocação de um implante é necessário que o paciente tenha osso suficiente. E este deve ser manipulado com muito cuidado pelo cirurgião, pois isto é essencial para seu êxito do implante. Quanto à dor após o implante, que é uma preocupação dos pacientes, hoje já não é um problema, pois as técnicas estão bastante evoluídas e medicamentos eficientes são ministrados e indicados após as cirurgias.
Os implantes bem indicados e executados apresentam numerosas vantagens: melhor função, mais estética, não desgasta os dentes naturais e são mais duráveis.
CASOS CLÍNICOS / CIENTÍFICOS
IMPLANTES
IMPLANTE COM RGO E DEPOIS CARGA IMEDIATA
Paciente N1220. Implante CONECT 22-03-2002.
Prof. Dr. Sérgio N. M. Lima.
Professor Fernando Baptista.
Histórico:
O dente 36 foi extraído com Regeneração Tecidual Guiada. Tinha problemas periodontais com bolsa periodontal profunda, envolvimento de bifurcação, grande perda óssea. Várias tentativas de tratamento periodontal foram realizadas ao longo de mais de 7 anos. Quando foi detectada uma cárie na área da bifurcação, separando a raiz mesial da distal e um agravamento da perda óssea na região, o dente foi condenado.
Com este prognóstico sombrio, o plano de tratamento indicado foi a extração do dente seguido de ROG, Regeneração Tecidual Guiada.

Figuras 1 a, b e c.
Figura 1a, mostra a sonda milimetrada penetrando mais de 10mm dentro da lesão na área da bifurcação.
Figura 1b, o retalho total foi realizado e rebatido, com a cureta MacCall 13-14, todo tecido de granulação foi removido, durante esse procedimento a coroa se soltou e foi removida da raiz.
Figura 1c, mostra o momento que a coroa foi removida e parte da raiz mesial, fraturada saiu junto com o núcleo, expondo todo defeito ósseo na área da bifurcação.

Figuras 2 a, b e c.
Figura 2a, mostra a cavidade óssea após a remoção do dente, evidenciando a grande perda óssea na área.
Figura 2 b, mostra o material de preenchimento que foi utilizado, Hidroxiapatita (Gen-phos) mais osso cortical e medular liofilizado (Gen-tech, Genius da Baumer), misturado com Colagel.
Figura 2 c, mostra o alvéolo refeito com material de reenchimento, onde será colocada uma membrana Intra-lock, para sutura dos retalhos.

Figuras 3 a, b e c.
Figura 3a, Raízes extraídas com o núcleo.
Figura 3b, sutura da ferida cirúrgica, procurando deixar a membrana reabsorvível bem fixada e os retalhos unidos de forma a propiciar uma cicatrização em primeira intenção, da mucosa gengival.
Figura 3c, a cicatrização da ferida cirúrgica, 30 dias após a extração e ROG.

Figuras 4 a e b.
Figura 4 a, mosta o osso alveolar neoformado, 7 meses após a extração e ROG. Feito retalho para colocação do implante na área do 36. Como pode-se ver, o osso alveolar estava perfeitamente reconstruído e o aspecto da área era excelente. Assim foi sugerido ao paciente a colocação de um implante Conect, isto é, um implante onde seria possível colocar uma coroa imediata no implante. As moldagens foram tiradas conforme veremos, encaminhadas ao laboratório para confecção do guia cirúrgico e demais procedimentos.
A figura 4b, mostra o início da cirurgia, com os retalhos totais levantados. Dois aspectos devem se observados nesta fotografia. Primeiro, o osso alveolar formado com a ROG, que está em condições excepcionais.

Figuras 5 a e b.
Figura 5a, mostra a cavidade óssea pronta com as brocas convencionais, isto é, usou-se inicialmente a broca chama até a profundidade de 11mm aproximadamente, depois a broca de 2mm, seguindo a seqüência: 2,8mm e 3,0mm.
Figura 5 b, a cavidade terminada onde usou-se no término a broca do Kit cirúrgico do Conect, para o implante que foi colocado de Ø4,3 X 10,0mm. Todos esses procedimentos têm que ser realizados com muita cautela e com as brocas irrigadas abundantemente com soro fisiológico.

Figuras 6 a e b.
Figura 6a, mostra o implante colocado até o ponto em que o motor de implante, com um contra-ângulo de 1:252 de redução levou o implante Conect até se desarmar, isto é, admitimos que neste ponto o torque foi de aproximadamente 30 N, para o término da ancoragem precisamos de 50N, assim na fotografia 6a, estamos removendo o monta implante para terminar a ancoragem, parafusando com uma chave própria do Kit cirúrgico, de aço, mais resistente, para levarmos o implante até a ancoragem completa, realizada com uma chave catraca, que dará aproximadamente os 50N necessários a perfeita ancoragem deste tipo de implante.
Nota: É impressionante o grau de fixação que os implante Conect atingem, por mais
manipulados que sejam durante os procedimentos protéticos, eles absolutamente não se alteram, dando ao protesista toda liberdade de ação para realizar as coroas.

Figuras 7 a e b.
Figura 7a, o monta implante é recolocado em posição novamente antes da sutura para verificarmos se ele está perfeitamente adaptado. Na foto 8b, o tecido é suturado, procurando com os retalhos, vestibular e lingual, dar a melhor forma possível no tecido perimplantar. O monta implante e o guia cirúrgico serão utilizados na etapa seguinte com um transferente para o similar do Conect para o modelo onde a coroa a ser colocada está sendo preparada.
Prótese.

Figuras 8 a, b e c.
Figura 8a. São os modelos de trabalho, superior e inferior, para acerto de oclusão. No modelo inferior está construído o guia cirúrgico, que terá como vimos duas funções.
Primeiro realmente como guia na cirurgia e em seguida como transferente do implante para o modelo de trabalho, assim, o modelo de estudo e confecção de guia, servirá também, como veremos de modelo de trabalho para a confecção da coroa a ser colocada, sobre o implante.
Figura 8b. São as peças que compõem os “abutmans” do sistema Conect a ser usados para confecção da coroa.
Figura 8c. Mostra o guia cirúrgico colocado na posição, para fixação do monta implante, que foi recolocado como mostramos na figura 8a e b ao guia, para servir de transferente para o modelo de trabalho. Essa fixação, deve ser cuidadosa, usando-se para isto resina de autopolimerização, pois o parafuso de fixação não deve ser envolvido de resina, caso contrário a peça não poderia ser mais removida.

Figura 9a e b.
Figura 9a. Mostra o profissional desgastando o gesso do modelo de trabalho, para inserção e fixação do similar para se obter o modelo de trabalho. Esta fixação deve ser realizada com muito critério e para isto usa-se resina autopolimerizável.
Figura 10b, está mostrando o guia cirúrgico que foi fixado no montador de implante ao qual foi fixado o implante similar que irá ser colocado no modelo de trabalho.

Figura 10 a e b.
Figura 10a. Mostra o guia cirúrgico em posição e o similar sendo fixado ao modelo de trabalho com resina de autopolimerização.
Figura 10b. Mostra o similar do implante em posição, onde serão colocados os
abutmans para confecção da coroa.

Figuras 11 a, b e c.
Figura 11a. Mostra o abutman em posição e na figura 11b os desgastes e pontos de retenção para a coroa, que são necessários, sendo feitos com um disco de
carborundum. Na figura 11c, mostra a confecção da coroa sobre o abutman.

Figuras 12 a, b e c.
As figuras 12, mostram as várias fases de adaptação da coroa no modelo, verificando nas proximais, oclusais e cervicais. Este ajuste é muito importante para uma boa higenização por parte do paciente. No ajuste oclusal deverá ser obtido uma infraoclusão e principalmente evitar contatos prematuros nas excursões mandibulares de lateralidade e protusivas.

Figura 13 a e b.
As fotografias 13 a e b, mostram a coroa em posição, já com a cavidade do parafuso fechada da forma de rotina. Deve na cavidade bucal ser procedido um criterioso ajuste da oclusão para se evitar traumas parafuncionais.
Conclui-se pelos casos já realizados de implantes Conect ser esses implantes uma
opção excelente para os pacientes que possuem estrutura óssea capaz de suportarem este implante, pois para sua indicação tem que haver um ótimo osso alveolar.
Naturalmente, estes implantes chamados de: implantes com carga imediata; para
serem realizados exigem um ótimo planejamento e uma equipe cirúrgica/protética bem equipada e com treinamento suficiente para que os procedimentos sejam realizados com biossegurança e de forma efetiva.
CASO CLÍNICO DE IMPLANTE CONECT.
Professor Dr. Sérgio N. M. Lima.
Professor Dr. Vanderlei Luis Gomes.
Professor Fernando Baptista.
Paciente número 0283, de 46 anos de idade. Chegou à clínica com um abscesso
no dente 12. Queixava de muita dor e desconforto.
No exame clínico pode-se ver que havia grande mobilidade da coroa, estava
praticamente solta.
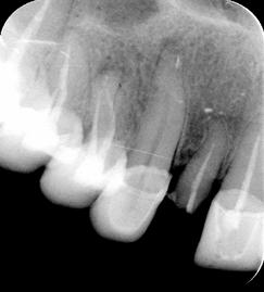
O exame radiográfico mostrou uma pequena linha de fratura. Foi indicada a extração do dente.
A paciente ficou muito abalada em ficar sem o dente, por questões estéticas. Foi proposta uma PPR ou mesmo um dente ser colado no lugar, o que deixou a paciente insegura.
Propusemos a colocação de um implante lançado pela Conexão, o Conect, que permite a colocação imediata de uma coroa estética no implante colocado, não sendo necessário para isso a espera de 6 meses para a osseointegração.
Prontamente a paciente achou excelente idéia, indicando a colocação de implante Conect.

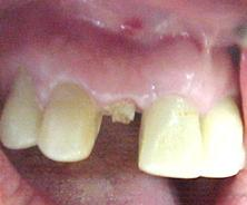
Figura n°1. Caso clínico: Paciente de 46 anos de idade, já portadora de 4 implantes, colocados há 6 anos, compareceu ao consultório após a perda da coroa do dente 12 com fratura da raiz.

Figura n°2. A análise radiográfica, mostrou uma raiz com muito pouca implantação, reação apical e ao exame clínico uma provável linha de fratura, transversal, alterando o ligamento periodontal no terço médio da raiz. Assim a raiz foi condenada, e indicado à paciente um implante imediato. Na radiografia pode-se observar outras alterações nos ápices dos dentes 13 e 14.

Figura n°3. Esta é a fotografia antes da cirurgia para implante. A imagem não ficou boa, mas pode-se notar com atenção uma linha de fratura iniciando na região vestibular com direção à distal.
Antes de ser realizada a cirurgia, a paciente foi moldada, feito modelo de estudo para confecção de uma coroa provisória e do guia cirúrgico. Os detalhes protéticos serão discutidos no final da parte cirúrgica.
Antes da cirurgia a paciente foi submetida uma anti-sepsia bucal com bochechos de Periogard seguido de uma ampla profilaxia com o jato de bicarbonato de sódio.

Figura n°4. Esta fotografia mostra a incisão inicial, intra-sulcular, com lâmina N15, para melhor aproveitamento do tecido mole na reconstrução da gengiva marginal do implante. O retalho deve sempre ser total, ou seja, muco-perióstico.

Figura n° 5. Após a remoção de todo tecido de granulação, o guia cirúrgico com o similar do dente a ser colocado foi posto em posição para verificar se estava correto. Pode-se ver que a coroa está em ótima posição em relação à raiz residual que irá ser extraída para colocação do implante.

Figura n° 6. Nesta imagem vemos por palatino o guia cirúrgico em posição. Pode-se ver o topo da raiz e a sombra da linha de fratura já descrita, mostrando que o guia tem sua perfuração para a broca na posição correta.

Figura n°7. Esta fotografia está mostrando a última broca usada (3,15mm) passando pela abertura do guia cirúrgico, antes da aplicação da broca especial do sistema Conect, para
implante de Ø4,3 X 10,0mm. É importante que a última broca de abertura fique na posição o mais ideal possível, pois a posição final, praticamente não pode ser alterada pela última broca do Sistema Conect.

Figura n°8. A fotografia não esta permitindo ver os detalhes, mas a cavidade final está pronta, para receber o implante Conect de Ø4,3 X 10,0mm

Figura n°9. Este é o implante Conect colocado, acreditamos que ele tenha ficado em uma posição ideal. O montador do implante serviu de posicionador para o similar ser vazado em gesso. Isto é, usou-se o guia cirúrgico para fixar o montador do implante, que foi levado ao modelo de estudo e fixado o similar.

Figura n°10. Resultado final da técnica cirúrgica, onde se procurou colocar a gengiva do retalho em uma posição bem cervical para dar estética na coroa. A partir deste momento iniciaram-se os procedimentos protéticos. Há que se tomar muito cuidado nestes procedimentos com a biossegurança, pois o campo cirúrgico está aberto o que teoricamente poderia facilitar uma contaminação e comprometimento dos procedimentos realizados.

Figura n° 11 A e B.
A) Vista oclusal do modelo de trabalho, com guia cirúrgico em posição, confeccionado em resina acrílica ativada quimicamente pela (R.A.A.Q) e dente de estoque, mostrando perfuração para posicionar a broca inicial. B) Vista vestibular mostrando a posição planejada para a coroa estética, observa a relação cervical do dente de estoque, com o orifício onde estava a raiz do 12 no guia cirúrgico.

Figura n°12. Implante em posição, retalho posicionado; o monta implante preso ao guia cirúrgico, será utilizado para fazer a transferência da posição da fixação para o modelo de trabalho.

Figuras n° 13 A e B.
A) Vista oclusal do guia cirúrgico em posição na cavidade bucal, mostrando o hexágono do parafuso do monta implante que será usado para transferir a posição de fixação para o modelo de trabalho. Nota-se que devido à espessura e altura do monta implante e sua ligeira inclinação para vestibular, o orifício para a orientação do posicionamento da broca inicial, no instante desta transferência foi aumentado, possibilitando a adaptação correta do guia cirúrgico. B) vista vestibular mostrando correta adaptação do guia cirúrgico.

Figuras n° 14 A; B e C.
A) Vista vestibular do início apreensão do guia cirúrgico ao monta implante, pela técnica de Nylon, utilizando R.A.A.Q. B) Vista palatina da mesma fase. C) Após a polimerização da resina, utilizando da chave hexágono para remoção do monta implante que encontra-se preso ao guia cirúrgico.
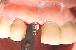
Figura n°15. Prova estética do pilar.

Figuras n°15, A e B. A) Preparo do pilar utilizando a broca diamantada em alta rotação. B) Vista do pilar em posição no modelo de trabalho, sobre este, utilizando R.AAQ. de mesma cor da faceta previamente preparada, a partir do dente de estoque, será confeccionada a coroa estética provisória. Esta deverá ter assentamento perfeito sobre o bordo preparado no pilar e produzindo o perfil emergente esperado e com correto polimento.

Figura n°16, A e B. A) Radiografia digitalizada (Digora) mostrando a correta adaptação entre a superfície de assentamento do implante e o hexágono externo do pilar. B), coroa estética em posição na cavidade bucal e cimentada sobre o pilar.

Figura n°17, A. Aspectos da coroa 2 semanas após a cirurgia e cimentação da coroa estética.
Após um período de 4 a 6 meses, esta coroa imediata, dever ser substituída por
uma coroa definitiva, mais estética e funcional confeccionada em porcelana.
CASO CLÍNICO DE IMPLANTE CONECT.
Paciente N 1214.
Paciente feminina de 50 anos de idade, com excelentes condições de saúde.
Dois implantes Conect colocados no dia 01-05-2002, substituindo os molares 36 e 37.
Na primeira consulta foi realizado um completo exame e a história clínica da paciente foi estudada. Os exames clínicos e radiográficos mostraram que era muito bem indicado o caso para a colocação de 2 implantes Conect, com coroas imediatas.
A paciente tentou durante anos usar um attachement que havia sido colocado para repor estes dentes, contudo funcionalmente ela nunca se sentiu a vontade com a peça, ela a usava, conforme seu próprio relato apenas socialmente, mas no último ano não estava conseguindo mais usar o aparelho.
Assim a indicação dos implantes, com possibilidade de duas coroas em infra-oclusão,mas estéticas, foi muito bem aceita pela paciente.

Figura 1A. Esta é a região onde serão realizados os implantes.
Inicialmente foi realizada uma ampla profilaxia na cavidade bucal do paciente, com aplicação do jato de bicarbonato e nos lugares onde havia cálculo esses foram removidos com o ultra-som.
Figura 1B, com o alta rotação e uma broca diamantada foi removido o macho de encaixe do attachement, para a colocação dos implantes de das coroas imediatas na posição correta.
Modelos de estudo e de trabalho foram realizados.

Figura 2. Estes são os modelos de estudo e de trabalho. Inicialmente servem para estudo da oclusão e depois são usados para a confecção do guia cirúrgico, que nesta técnica, tem duplo finalidade. Primeiro, durante a cirurgia são usados para o posicionamento dos implantes. Segundo, são recolocados na boca, após o implante realizado e usando-se os montas implante, o guia serve de transferente para o modelo de trabalho onde serão realizadas as coroas.

Figura 3 a e b.
No primeira figura vemos o guia cirúrgico no modelo e segunda vemos o guia na boca do paciente, em posição para ser marcado o local da perfuração a ser realizada no osso. Deve-se fazer a perfuração, o mais próximo do local marcado, se não possível, o cirurgião deve optar por uma posição que aproveite ao máximo a estrutura óssea, evitando situações que criem dificuldades, ao protesista, no momento de se colocar as coroas.

Figuras 4 a e b.A primeira, 4a imagem salienta a importância de se esterilizar muito bem o Guia cirúrgico. Se não se possuir Glutaraldeídos para esta esterilização química, pode ser utilizado o hipoclorito de sódio a 1%, ou seja, a 10.000ppm, em imersão pelo menos durante 30 minutos. O ideal em ambos os casos, glutaraldeídos ou hipocloritos seria um tempo de mais de 10 horas de imersão. Isto nem sempre é viável, mas durante 30 minutos, faz-se uma desinfecção aceitável no guia cirúrgico, contudo deve-se evitar estar manipulando muito esta peça dentro do campo cirúrgico durante muito tempo, pois o acrílico é poroso e somente a desinfecção pode deixar a desejar em uma cadeia asséptica ideal.
Na segunda fotografia, 4b, vemos a área a ser implantada, com o paciente já anestesiado.

Figuras 5 A e B.
A primeira mostra o guia cirúrgico em posição com o paciente anestesiado e em situação correta para serem marcados os dois pontos para a perfuração. Inicialmente os pontos foram marcados no tecido mole, em seguida, figura 5 B, o tecido ósseo subjacente foi marcado com a primeira broca, broca chama. Essa marca em nada prejudica, pois, a incisão, inicial, quando a coroa vai ser colocada de imediato é diferente das incisões onde os implantes devem permanecerem sepultados por 3 ou 6 meses.
As incisões, para a colocação dos implantes Conect, com coroas imediatas são diferentes das incisões quando os implantes devem permanecer sepultados.

Figura 6. Nesta fotografia vemos as duas cavidades prontas para receberem os implantes Conect. Foram usadas as seguintes brocas: Chama, 2,8mm, 3,0mm e a broca do Kit Conect da broca de 4,3 – 11,5mm, para colocação do implante correspondente deste diâmetro e comprimento.

Figura 7. Nesta fotografia vemos o implante na área do 36, colocado com o motor de implante, usando-se 1250rpm e com um contra-ângulo de 1:256, o que segundo o fabricante oferece um torque de até 32N. Depois deste procedimento usa-se uma chave, que levará o implante até sua ancoragem final, tendo-se para isso que retirar o monta implante e fazer esta inserção final com um intermediário próprio, o que já havia sido realizado. Em seguida, novamente o monta implante é recolocado, implante 36 e depois no 37 para se fazer a transferência do similar para o modelo como veremos.

Figuras 8 A e B.
Na primeira fotografia vemos os implantes inseridos no tecido ósseo, em uma ótima posição e com excelente fixação no tecido. Os retalhos ainda não foram suturados. Na fotografia 8B, vemos a imagem no espelho dos retalhos suturados, criando condições para ser realizado a transferência de posição e preservando a gengiva aderida para o acabamento final das coroas.

Figuras 9 A e B.
A primeira fotografia mostra uma fase muito importante, onde o guia cirúrgico é reposicionado na boca do paciente, com os desgastes necessários para ser fixados com acrílico aos mota implantes, que servirão se posicionadores para os similares que serão usados no modelo de trabalho. A foto 9B, mostra os componentes básicos que serão usados no laboratório, o similar e o conector onde a coroa será feita para ser parafusada no implante Conect.

Figuras 10 A e B.
A fotografia 10 A, mostra o momento em que o guia cirúrgico foi retirado da boca do paciente onde estão fixados os monta implantes para posicionamento no modelo. Na fotografia 10B, os similares estão já parafusados e o conjunto está pronto para ser fixado no modelo que servirá para o trabalho de confecção das coroas.

Figuras 11 A e B.
Nestas fotografias o guia cirúrgico está sendo colocado em posição no modelo para fixação, antes, contudo o guia foi isolado para não ficar fixado no modelo e ser fácil de remover.

Figuras 12 A e B.
Na figura 12 A, os similares foram fixados em posição no modelo de trabalho. Na figura 12B, com o disco está sendo feito os desgastes no “abutman” para fixação da coroa neste conector.
Figuras 13.
Nesta fotografia vemos as coroas adaptadas em posição para serem fixadas nos intermediários. A cera está sobre a fenda dos parafusos para evitar que o acrílico penetre, impedindo a manipulação dos parafusos e remoção&fixação das peças.

Figuras 14.
As coroas estão fixadas, a cera é removida, os parafusos de fixação retirados e as coroas vão para a boca do paciente para os ajustes finos necessários.

Figura 15 A

Figuras 16. Mostra o caso pronto, com as duas coroas provisórias em posição.
Importante salientar que após a cicatrização final, osseointegração, as coroas da região serão refeitas, para se atingir mais estética e equilíbrio na oclusão do paciente.
RECONSTRUÇÃO DOS DEFEITOS ÓSSEOS PRP
Técnicas das Reconstruções de defeitos ósseos Maxilo e Mandibulares.
Muitas são as etiologias das perdas ósseas, é um campo vasto, pois envolve: Doenças inflamatórias crônicas e agudas, processos patológicos e fatores anatômicos ligados à hereditariedade e a idade do paciente.
Existem fatores que aceleram a perda óssea, os mais comuns são: uso de Próteses Totais e Próteses Parciais Removíveis.
Os acidentes traumáticos também podem estar presentes em perdas ósseas.
Antes das reconstruções ósseas, como em qualquer tipo de cirurgia as condições físicas do paciente devem ser analisadas e uma anamnésia bem-feita deve ser realizada para esclarecimentos, não somente das condições físicas do paciente, mas também diagnosticar a etiologia das perdas ósseas e traçar um plano de tratamento mais adequado possível
Existem várias técnicas reconstrutivas das perdas ósseas: Os tipos de materiais usados para enxertos são: alógenos, aloplásticos e xenógenos.
A primeira, e mais usada como rotina nos consultórios é a Regeneração Óssea Guiada (ROG).
2. A segunda, técnica usada é o emprego do Plasma Rico em Plaquetas PRP, associado a materiais homoplásticos ou aloplásticos.
3. A terceira técnica é os enxertos ósseos autógenos. Várias técnicas para uso destes enxertos têm sido empregadas nos últimos anos.
O tipo de técnica é eleita conforme o grau de perda óssea existente. O enxerto de osso, na maxila e mandíbula não têm a finalidade somente de criar osso para a colocação de implantes, muitas vezes tem objetivo de auxiliar na reconstrução estética e funcional dos maxilares.
Em certas circunstâncias o protesista não tem condição de realizar um bom trabalho estético se a estrutura óssea estiver muito comprometida.
Para que estas cirurgias sejam realizadas, há necessidade de um ambiente criteriosamente preparados quanto a biossegurança e uma equipe altamente treinada, as cirurgias que apresentaremos foram realizadas na Clínica Prof. Dr. Sérgio Lima, pela equipe do Prof. Dr. Joubert.
Mostraremos alguns exemplos destes casos clínicos realizados, para ilustração.
Caso clínico número 1.
Este paciente sobre uma queda, com fratura da tábua óssea vestibular e a perda dos dentes 11, 12 e 13.

Na fotografia 1.1. Perceber-se um hematoma seguido de uma fibrose da área labial. Na fotografia 1.2. Pode-se observar a área anodôntica correspondente aos dentes e osso perdido 21 dias após o acidente.
A região labial foi corrigida com uma cirurgia plástica, antes do enxerto ósseo ser realizado.

Fotografia 1.3. Nesta fotografia, o retalho total da mucosa gengival foi rebatido, expondo o tecido ósseo. Pode-se observar a perda do cortical ósseo vestibular de toda a área. Optou-se por um enxerto de osso autógeno.
Fotografia 1.4. Observa-se o enxerto ósseo sendo removido da região mentoniana para ser colocado na área da perda óssea.

Fotografia 1.5, podemos observar, o enxerto ósseo parafusado em posição. É importantíssimo que o enxerto fique firmemente preso ao osso subjacente.
Fotografia 1.6. Nesta observamos que nos espaços remanescentes, foi colocado uma pasta de material aloplástico, composto por: osso liofilizado, HA e colagel.

Fotografia 1.7. Mostra o enxerto todo recoberto por uma membrana colágena reabsorvível.
Fotografia 1.8. Observa-se que os retalhos foram rigorosamente suturados, contudo, tomando-se cuidado para que não houvesse isquemia nos tecidos, que poderia levar a uma necrose do retalho.
Colocação dos implantes 7 meses após.

Fotografia 1.9. Pode-se ver a perfeita formação do tecido ósseo em toda a área do enxerto, os parafusos de fixação foram removidos.
Fotografia 1. 10. colocação do guia cirúrgico para a marcação do lugar ideal para a colocação dos implantes.

Fotografia 1.11. As 3 cavidades ósseas preparadas para a colocação dos implantes. Ao preparar as cavidades pode-se verificar que o osso formado era de ótima qualidade, permitindo uma boa fixação dos implantes de titânio.
Fotografia 1.12. Mostra a radiografia tirada imediatamente após a colocação dos implantes.
Contatos
Rua Visconde de Inhaúma, 590 – conjunto 205. CEP: 14010-100
Localização
Copyright © 2024 | Clínica Sérgio Lima – Todos os direitos reservados